Ramiro Morales, M.D. Plastic & Reconstructive Surgery 954-450-6594 1-855-FL-NEWLOOK 855-356-3956

← Back to All Cases

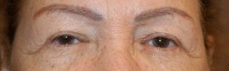
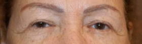
Case 6: Eyelid Surgery

Blepharoplasty

Age: 74
Ethnicity: Hispanic
Gender: Female

< previous case | next case >

Image_medium
Image_medium
Image_medium
Image_medium
Image_medium
Image_medium

CONTACT US TODAY!

Have questions? Contact our office today!